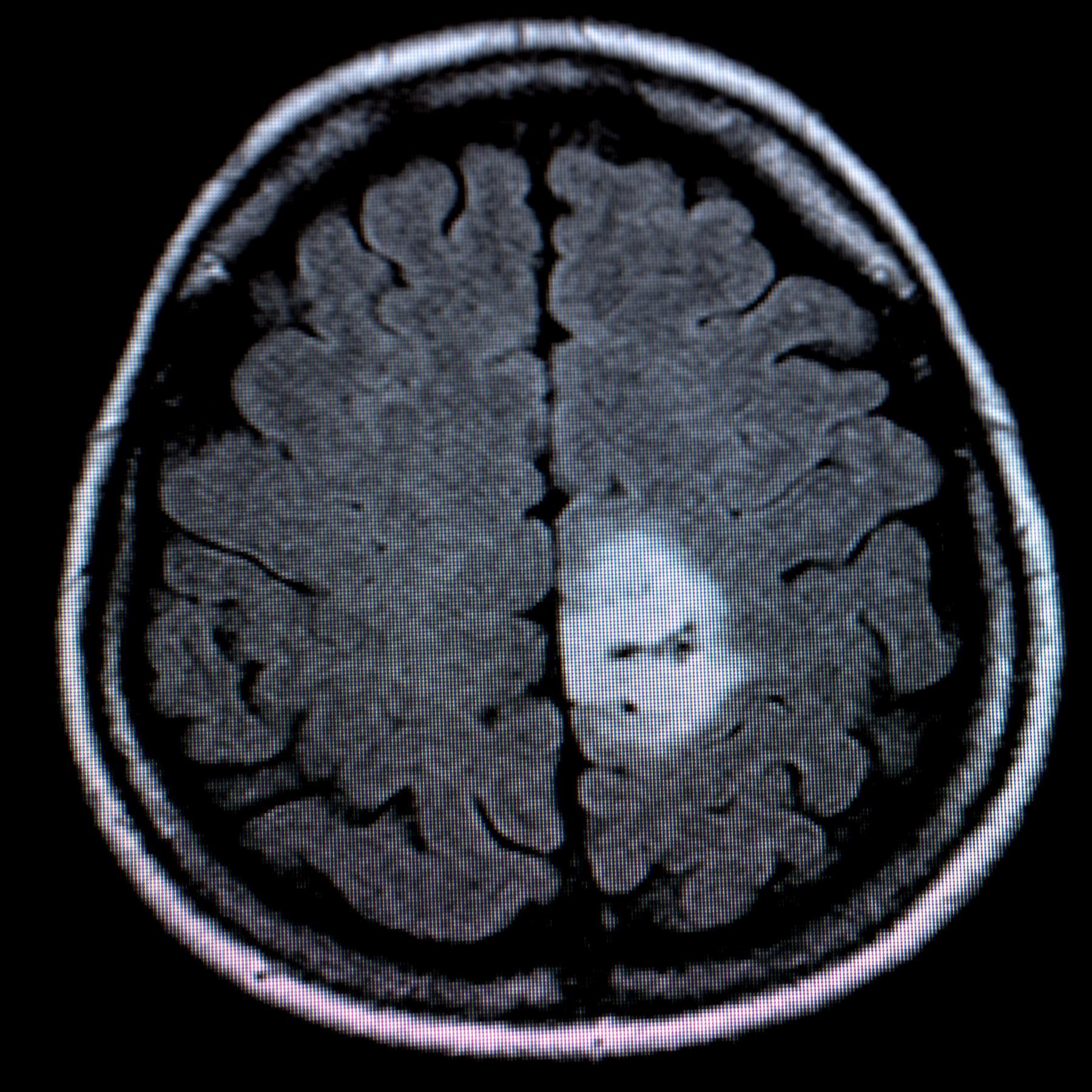
Kopfschmerzen, Sehstörungen oder auch Krampfanfälle - das können Symptome für einen Hirntumor sein - egal, ob gut- oder bösartig. Wie die Medizin inzwischen helfen kann, erklärt der Neurochirurg Prof. Florian Ringel.
Want to check another podcast?
Enter the RSS feed of a podcast, and see all of their public statistics.