Listen

Description

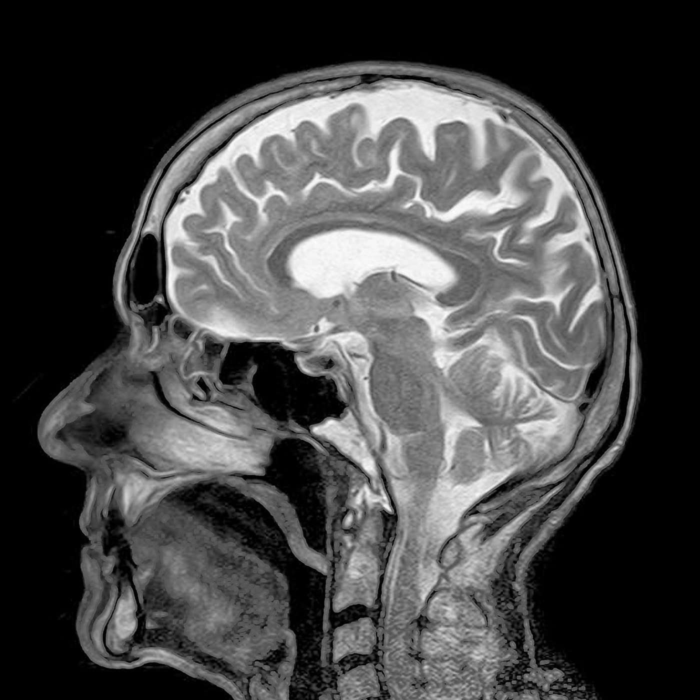
Many of us have been in a medical scanner and benefited from its use in medical diagnostics. But how many of us have considered how it works? The maths behind modern medical imaging (showing how CAT, MRI and Ultrasound scanners work) will be explained, showing how mathematics done in 1915 is now saving countless numbers of lives.

Recent advances in mathematics are leading to much better images for doctors to use for their diagnoses; and similar methods and ideas are used in diverse applications such as remote sensing, oil prospecting, crime detection, studying bees and saving the whales.

The transcript and downloadable versions of the lecture are available from the Gresham College website: https://www.gresham.ac.uk/lectures-and-events/how-maths-can-save-your-life

Gresham College has been giving free public lectures since 1597. This tradition continues today with all of our five or so public lectures a week being made available for free download from our website. There are currently over 2,000 lectures free to access or download from the website.

Website: http://www.gresham.ac.uk
Twitter: http://twitter.com/GreshamCollege
Facebook: https://www.facebook.com/greshamcollege
Instagram: http://www.instagram.com/greshamcollege

Support the show