Listen

Description

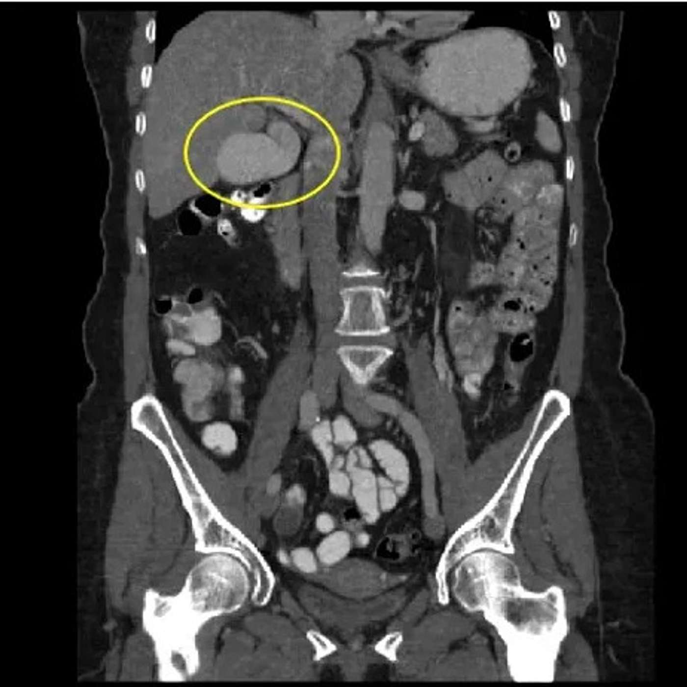
A phrygian cap gallbladder is a congenital anomaly of the gallbladder with an incidence of 4%. It can simulate a mass in the liver during hepatobiliary imaging and is sometimes mistaken for pathology. A Phrygian cap, however, has no pathological significance and normally causes no symptoms. 

Links:
What is a Phrygian (Cap) Gallbladder?

https://www.gastroendopod.com