Listen

Description

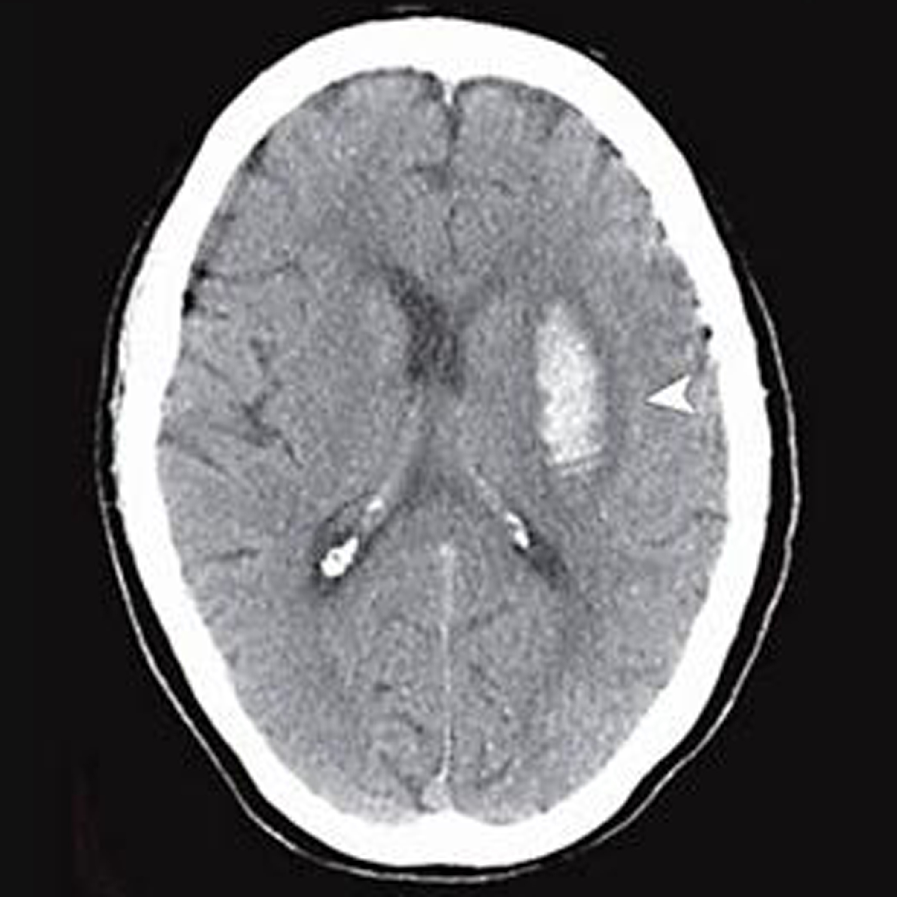
Treatment strategies for acute ischemic stroke are continuing to evolve. JAMA Associate Editor and vascular neurologist Jeffrey Saver, MD, from the University of California Los Angeles, and JAMA Senior Editor Christopher Muth, MD, discuss 2 articles recently published in JAMA about alteplase in the treatment of acute ischemic stroke and provide a broader overview of the recent advances and future directions for the use of thrombolytics and endovascular thrombectomy for acute ischemic stroke.Treatment strategies for acute ischemic stroke are continuing to evolve. JAMA Associate Editor and vascular neurologist Jeffrey Saver, MD, from the University of California Los Angeles, and JAMA Senior Editor Christopher Muth, MD, discuss 2 articles recently published in JAMA about alteplase in the treatment of acute ischemic stroke, and provide a broader overview of the recent advances and future directions for the use of thrombolytics and endovascular thrombectomy for acute ischemic stroke.

Related Content:

Association of Recent Use of Non–Vitamin K Antagonist Oral Anticoagulants With Intracranial Hemorrhage Among Patients With Acute Ischemic Stroke Treated With Alteplase