Listen

Description

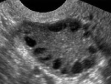
In this episode we trace the history of polycystic ovarian syndrome, learn about the underlying physiology, and how to diagnosis it.

feedback@obgyn.fm

 

  1. Current Practices of Measuring and Reference Range Reporting of Free and Total Testosterone in the United States.
  2. Diagnostic Criteria for Polycystic Ovary Syndrome: Pitfalls and Controversies
  3. Clinical Findings and Hormonal Responses in Patients With Polycystic Ovarian Disease With Normal Versus Elevated LH Levels.
  4. A study of the end-results of the treatment of amenorrhea and sterility by radiation of 128 married women over a period of twelve years
  5. The Stein-Leventhal syndrome
  6. Secretion of Androgens by the Polycystic Ovary and its Significance
  7. Inappropriate Secretion of Follicle-Stimulating Hormone and Luteinizing Hormone in Polycystic Ovarian Disease
  8. Defective Biosynthesis of Ovarian Steroids in the Stein-Leventhal Syndrome
  9. Functional Studies of Aromatase Activity in Human Granulosa Cells from Normal and Polycystic Ovaries
  10. The Effects of Ovarian Wedge Resection on Circulating Gonadotropin and Ovarian Steroid Levels in Patients with Polycystic Ovary Syndrome
  11. Bilateral polycystic ovaries: Significance in sterility
  12. Polycystic ovary syndrome: etiology, pathogenesis and diagnosis