Listen

Description

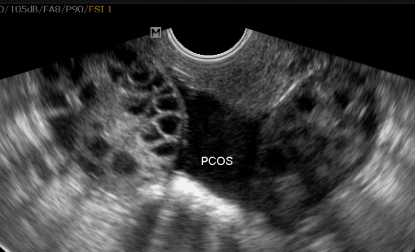
In this episode we finish up PCOS by discussing the management and long-term consequences.

 

feedback@obgyn.fm

 

  1. Polycystic ovary syndrome: etiology, pathogenesis and diagnosis
  2. Combined oral contraceptives in the treatment of polycystic ovary syndrome
  3. Ovarian Suppression in Normal-Weight and Obese Women During Oral Contraceptive Use: A Randomized Controlled Trial
  4. Ovulation incidence with oral contraceptives: a literature review
  5. Shorter pill-free interval in combined oral contraceptives decreases follicular development
  6. Comparison of efficacy of metformin and oral contraceptive combination of ethinyl estradiol and drospirenone in polycystic ovary syndrome
  7. Evidence-Based and Potential Benefits of Metformin in the Polycystic Ovary Syndrome: A Comprehensive Review
  8. Metformin, oral contraceptives or both to manage oligo-amenorrhea in adolescents with polycystic ovary syndrome? A clinical review
  9. Additive Effects of Insulin-Sensitizing and Anti-Androgen Treatment in Young, Nonobese Women with Hyperinsulinism, Hyperandrogenism, Dyslipidemia, and Anovulation
  10. Metformin and gonadotropins for ovulation induction in patients with polycystic ovary syndrome: a systematic review with meta-analysis of randomized controlled trials
  11. Aromatase inhibitors for subfertile women with polycystic ovary syndrome: summary of a Cochrane review
  12. Epidemiology, diagnosis and management of hirsutism: a consensus statement by the Androgen Excess and Polycystic Ovary Syndrome Society
  13. Impaired glucose tolerance, type 2 diabetes and metabolic syndrome in polycystic ovary syndrome: a systematic review and meta-analysis
  14. Lifestyle Modification Programs in Polycystic Ovary Syndrome: Systematic Review and Meta-Analysis
  15. The Impact of Bariatric Surgery on Polycystic Ovary Syndrome: a Systematic Review and Meta-analysis
  16. Assessment of Cardiovascular Risk and Prevention of Cardiovascular Disease in Women with the Polycystic Ovary Syndrome: A Consensus Statement by the Androgen Excess and Polycystic Ovary Syndrome (AE-PCOS) Society
  17. Body Composition Is Improved During 12 Months' Treatment With Metformin Alone or Combined With Oral Contraceptives Compared With Treatment With Oral Contraceptives in Polycystic Ovary Syndrome
  18. Influences of weight, body fat patterning and nutrition on the management of PCOS